Photo Gallery
Kor Bleaching
Kor whitening is the ultimate treatment option for patients to attain bright and radiant teeth. It is a safe procedure that provides desired results to the patients.
Before



After



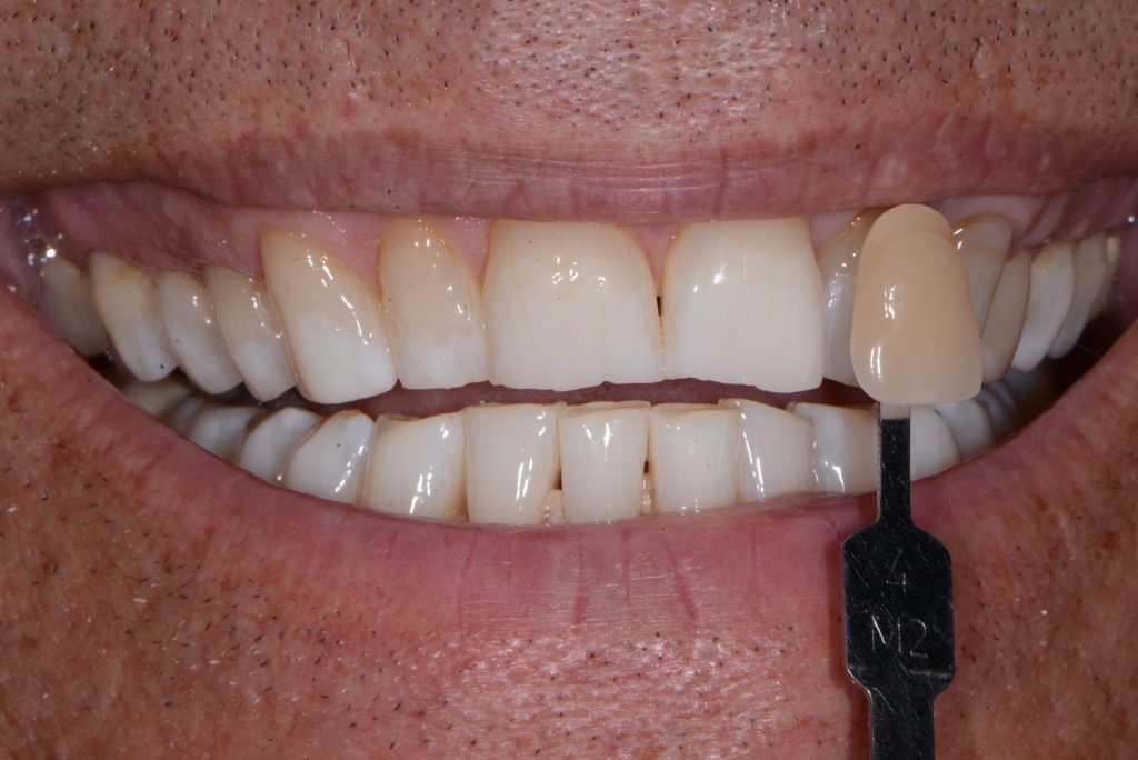
Kor Bleaching and Porcelain Veneers
These patients smiles were improved by performing Kor Teeth Bleaching followed by two front Porcelain Veneers
Before


After


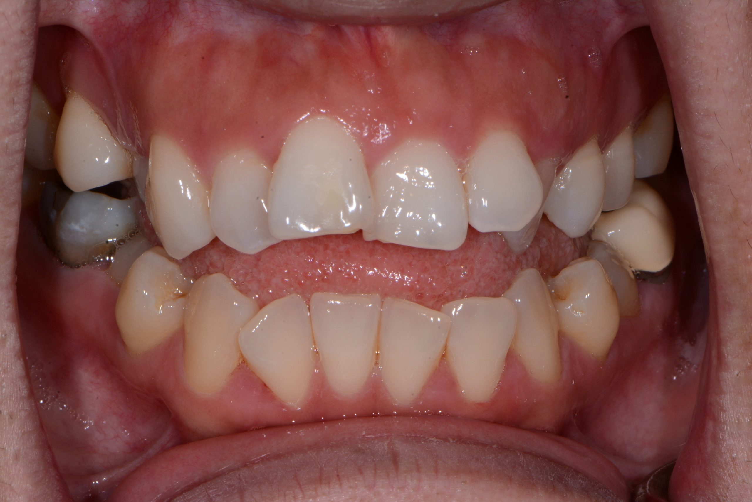
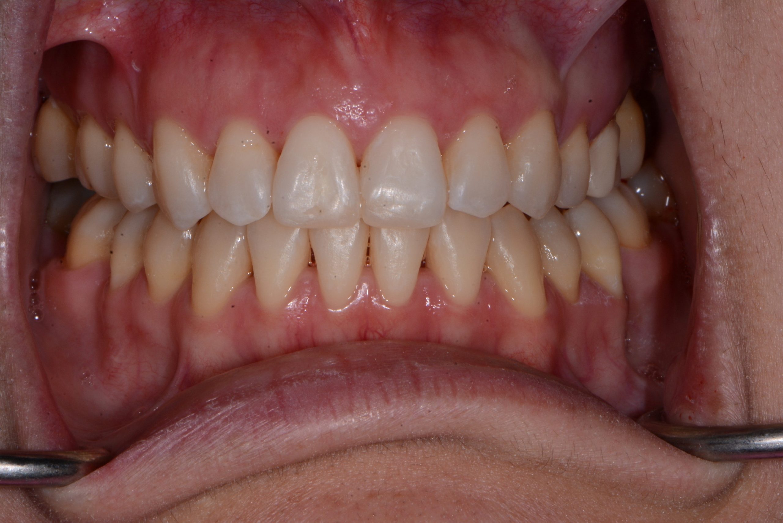
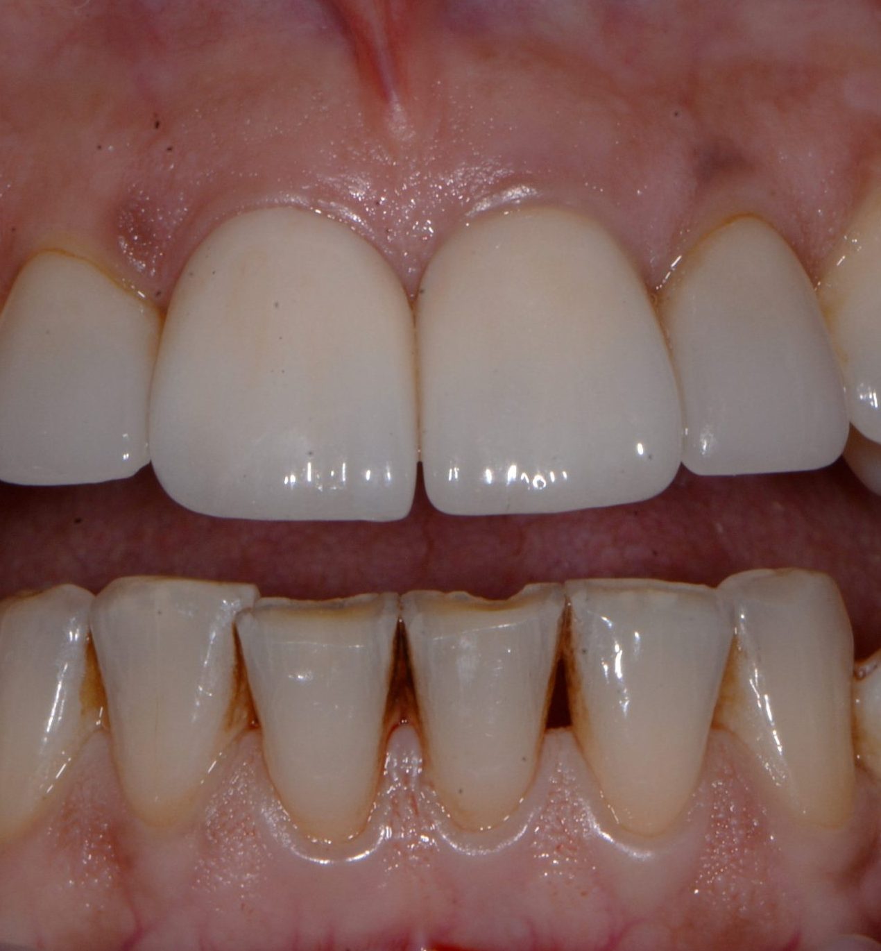
Veneers and Crowns
Veneers and crowns can address small gaps between teeth, chipped, discolored, damaged, or misshapen teeth. The result is an aesthetic smile that feels natural and enhances the patient’s appearance.
Before




After




Clear Aligners and Composite Fillings
If you want a less invasive smile makeover, in a relatively short time you can obtain perfectly aligned teeth through clear aligners finished with non-invasive composite restorations.​​
Before






After






Composite Fillings
Undesired gaps in between the teeth, old silver fillings, and a beautiful natural smile can be achieved with direct composite fillings.
Before

After





Partials
Partial Dentures help restore missing teeth in the mouth. It also stops the remaining teeth from shifting their place and promotes the aesthetic appearance of the patient.
Before

After

